Эстетика после брекет-лечения

3 минуты на чтение
3
Поэтому не имеет значения, сколько вам лет, если есть показания к исправлению прикуса.
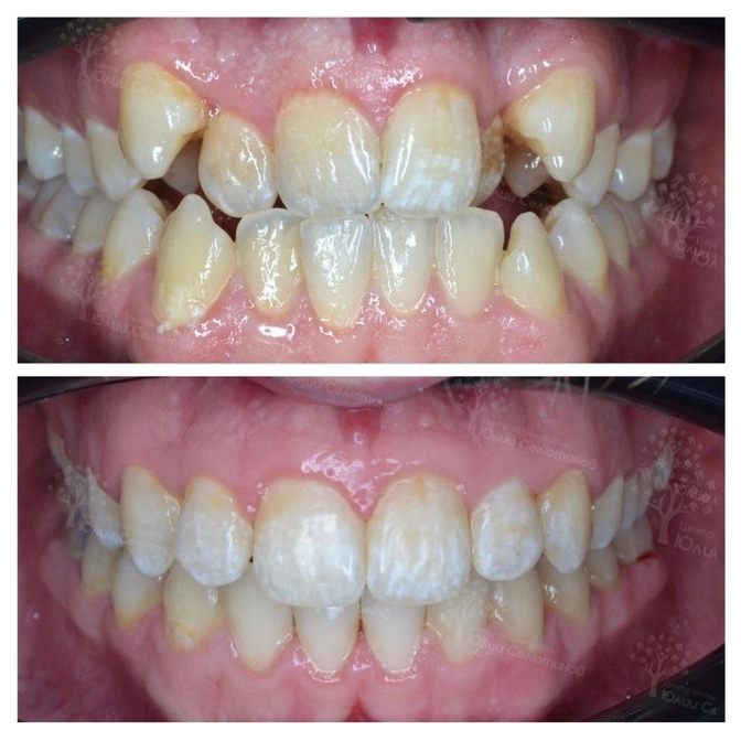
Пациенту 26 лет.
Он обратился с жалобами на неровные зубы и сложности с пережёвыванием пищи.
Что видим в полости рта?
• Скученность зубов на обеих челюстях.
• Клыки выступают вперед, а боковые резцы наоборот задвинуты к нёбу.
• Смыкание некорректное — зуб на зуб не попадает.
✔️Лечение проводили на металлической брекет-системе.
Расширили верхний зубной ряд и поставили зубы на место.
Это заняло 20 месяцев.
✔️После снятия сделали эстетические реставрации боковых резцов — они были не в идеальном состоянии.
Теперь у парня улыбка????
Срок лечения на брекет-системе рассчитывается индивидуально для каждого пациента.
• Для исправления небольшого дефекта требуется примерно 1 год.
• В период сменного прикуса (до 12 лет) можно справиться и за 6 месяцев.
• В 12–15 лет в период активного роста и развития челюстей — 1–1,5 года.
• При тяжелой патологии прикуса ортолечение может растянуться на 3 года и дольше.
Читайте также






