Эстетика или здоровье?

3 минуты на чтение
3
Не всегда результатом лечения становится красота и эстетика улыбки.
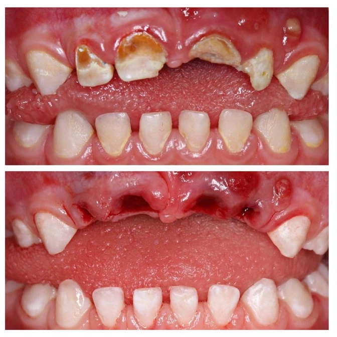
В этом случае все четыре верхних резца пришлось удалить, и на то были 100% показания.
Маленькой пациентке всего 2 года.
Зубы поражены кариесом, это очевидно.
Плюс Не так давно с ней случилась травма — она ударилась передними зубами.
В #ЦентрСелютиной родители обратились с жалобой на образование свищей над верхними зубками.
Это одно из возможных последствий механической травмы зубов.
Плюс на жевательных зубках был кариес.
Ребенок еще маленький, поэтому было решено лечить в условиях наркоза.
Работу проводила наш детский стоматолог Светлана Кожемякина.
✔️За 2 часа она вылечила 9 зубов и еще 4 пришлось удалить.
• Жевательные зубы пролечены от кариеса;
• Верхние резцы удалены, т.к. воспаление уже вышло за пределы зубов и угрожало зачаткам постоянных.
Теоретически мы могли бы сделать всё красиво: восстановить зубки, закрыть их коронками, прижечь свищи (такая тактика существует, но мы ее категорически не поддерживаем и не применяем).
❗Но! Мы не салон красоты, мы — клиника❗
Мы лечим пациентов и делаем это по показаниям.
А если нужно удалить зубы, то мы говорим об этом пациентам и родителям прямо и всегда рассказываем о том, что будет, если не лечить и не удалять.
Конкретно в этом случае воспаление вышло за пределы резцов и угрожало зачаткам постоянных.
Это видно на снимках, а после появления постоянных вы сразу увидите изменения на них в худшую сторону.
Зубы могут прорезаться с гипоплазией — это недоразвитие эмали, а значит, зубы более уязвимы перед кариесом.
В первую очередь думайте о здоровье зубов ваших детей, а не об их красоте.
Читайте также






