Аппарат Твин-Блок: клинический случай.

3 минуты на чтение
3
Тот случай, когда рекомендации выполнялись четко и привели к быстрому и эффективному результату.
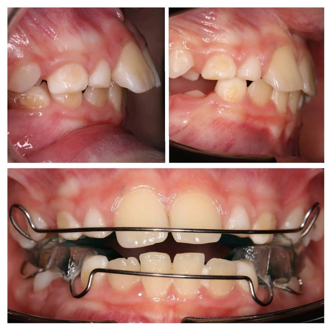
У пациента дистальный прикус и протрузия резцов на верхней челюсти.
При такой патологии нижняя челюсть оказывается задвинута назад чаще всего из-за вредных привычек ребенка (долгое сосание пустышки, пальца, прикусывание нижней губы).
Родители, обращайте внимание на вредные для зубов привычки, чтобы не пришлось потом долго и дорого исправлять прикус ребенка.
Ортодонт нашей команды Диана Кива назначила пациенту лечение аппаратом твин-блок.
И такого крутого результата они достигли ВСЕГО ЗА 3 МЕСЯЦА!
И ребенок, и родители выполняли рекомендации на все 100.
Не жаловались на неудобство и то, что в школе будут смеяться.
Вообще дети быстро привыкают к ортодонтическим конструкциям и не стесняются их, т.к. многие их сверстники также ходят с брекетами и пластинками.
✔️Твин-блок — это парная пластинка (на верхнюю и нижнюю челюсть), которую используют на начальном этапе лечения.
Дальше по необходимости ставят брекеты.
Наиболее эффективен твин-блок в возрасте 9–14 лет (у девочек до 13 лет) в период активного роста челюстей.
Исправление прикуса происходит быстро — первый результат вы увидите уже через несколько недель.
Средний срок лечения обычно 1–1,5 года.
Носить Твин-Блок можно круглосуточно, особенно во время еды, т.к. при жевательной нагрузке он работает наиболее эффективно.
Твин-блок изготавливается индивидуально, и ребенок может сам придумать дизайн.
С блёстками, цветной или с рисунком — такой аппарат он точно захочет носить, потому что сам принял участие в его разработке.
Вы бы видели, как радуются дети, когда им показываешь пластинку с тем цветом и картинкой, которые они заказали!
Читайте также






