Аппарат Haas: показания к лечению.

3 минуты на чтение
3
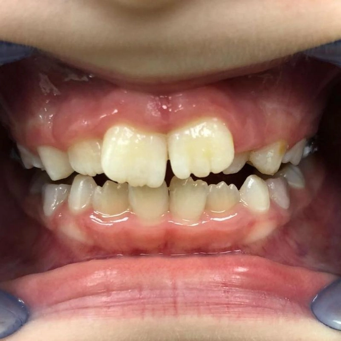
Что на фото:
Явно зубам места маловато.
Поэтому - скученность.
Что предприняла наш ортодонт Оксана Журавская.
Рекомендовала к ношению и изготовила особый аппарат.
Называется аппарата Haas
Аппарат показан для:
1. Расширения верхней челюсти
2. Профилактики скученности
3. Разблокировки нижней челюсти
4. РАСШИРЕНИЯ верхних дыхательных путей, что важно при аденоидах
•Арпарат несъёмный.
Фиксируется к зубам при помощи специального цемента.
Так что ребёнок не сможет его снять.
•Устанавливается на молочные зубы, нет риска повреждения постоянных;
•Незаметен во рту
•Значительное сокращение сроков последующего лечения на брекетах;
•Малая продолжительность лечения (активный период всего около 2х недель)
•Решает не только ортодонтические, но и отоларингологические проблемы.
•Оптимальный возраст для аппарата Haas 9-10лет.
Читайте также






