Агрессивность кариеса раннего детского возраста.

3 минуты на чтение
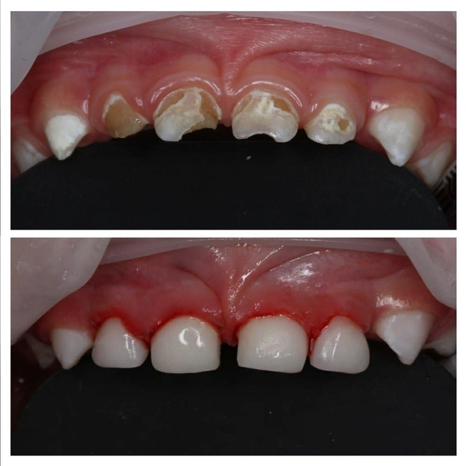
2
Их зубки прорезались совсем недавно и совершенно беззащитные.
Маленькому пациенту всего 1,7 года.
Лечение было очень сложным, но детский стоматолог Мария Штельмах справилась блестяще!
В чем трудность?
✔️В силу возраста у малыша нет ни одного полностью сформированного зуба.
✔️Разрушались они стремительно, т.к. ребенок на ГВ (ПО НОЧАМ!) и зубы ему практически не чистили.
✔️На всех «четверках» циркулярный (или круговой) кариес — разрушение начинается сразу на нескольких зубах.
Циркулярный кариес поражает шейки зубов и молниеносно уходит вглубь.
Возникает на месте пороков развития молочных зубов или системном поражении постоянных.
Так как развивается он очень быстро и часто на не полностью сформированных молочных зубках, то гибель пульпы и возникновение периодонтита протекает бессимптомно.
Если вовремя не обратиться к стоматологу, начнется резорбция (рассасывание) корней.
✔️Лечили, естественно, под наркозом.
✔️Восстановили резцы пломбировочным материалом;
✔️«Четверки» пролечены и закрыты металлическими коронками.
Напоминаю про чистку зубов малышам.
✔️Пока первый зубик только прорезывается, пользуйтесь силиконовым напальчником (любой фирмы).
Им можно почесать десну и облегчить зуд, а также малыш начнет привыкать, что родители чем-то елозят у него во рту.
✔️Когда зуб прорежется полностью, начинайте чистить его зубной щеткой с пастой.
Средства должны быть ДЕТСКИЕ.
Поначалу ребенок может сопротивляться и плакать.
Вам будет казаться, что все очень сложно, и вы мучаете малыша.
❗НО ЭТО НЕ ТАК!
Не сдавайтесь, не грызите себя и не ленитесь.
Помните, что ежедневная чистка может стать залогом здоровья зубов малыша.
А примеров пораженных и несвоевременно удаленных зубов в моем блоге и так хватает.
Читайте также






